|
Background: |
Involved in regulation of intracellular signaling pathways during development. Negatively regulates the Nodal signaling pathway, possibly by promoting the lysosomal degradation of Nodal receptors, such as TGFBR1. May be involved in control of the morphogenetic behavior of kidney ureteric bud cells by keeping cells epithelial and restraining their mesenchymal character. May play an inhibitory role in the re-epithelialization of skin wounds by attenuating TGF-beta signaling (By similarity). |
|
Applications: |
ELISA, IHC |
|
Name of antibody: |
DACT2 |
|
Immunogen: |
Fusion protein of human DACT2 |
|
Full name: |
dishevelled binding antagonist of beta catenin 2 |
|
Synonyms: |
DPR2; DAPPER2; C6orf116; bA503C24.7 |
|
SwissProt: |
Q5SW24 |
|
ELISA Recommended dilution: |
5000-10000 |
|
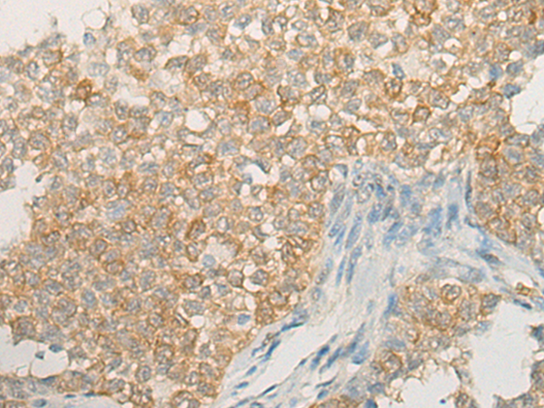
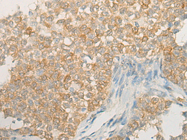
IHC positive control: |
Human ovarian cancer; |
|
IHC Recommend dilution: |
25-100 |
購物車
幫助
021-54845833/15800441009
