|
Background: |
May be involved in regulation of intracellular signaling pathways during development. Specifically thought to play a role in canonical and/or non-canonical Wnt signaling pathways through interaction with DSH (Dishevelled) family proteins. |
|
Applications: |
ELISA, IHC |
|
Name of antibody: |
DACT3 |
|
Immunogen: |
Fusion protein of human DACT3 |
|
Full name: |
dishevelled binding antagonist of beta catenin 3 |
|
Synonyms: |
RRR1; DAPPER3 |
|
SwissProt: |
Q96B18 |
|
ELISA Recommended dilution: |
5000-10000 |
|
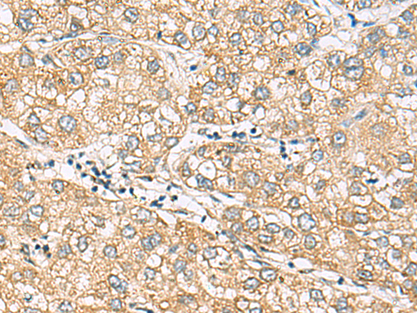
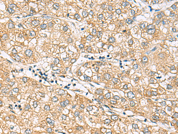
IHC positive control: |
Human liver cancer |
|
IHC Recommend dilution: |
50-200 |
購(gòu)物車
幫助
021-54845833/15800441009
