中文名稱:兔抗DPYSL3多克隆抗體
|
Background: |
Necessary for signaling by class 3 semaphorins and subsequent remodeling of the cytoskeleton. Plays a role in axon guidance, neuronal growth cone collapse and cell migration (By similarity). |
|
Applications: |
ELISA, IHC |
|
Name of antibody: |
DPYSL3 |
|
Immunogen: |
Fusion protein of human DPYSL3 |
|
Full name: |
dihydropyrimidinase like 3 |
|
Synonyms: |
DRP3; ULIP; CRMP4; DRP-3; LCRMP; CRMP-4; ULIP-1 |
|
SwissProt: |
Q14195 |
|
ELISA Recommended dilution: |
5000-10000 |
|
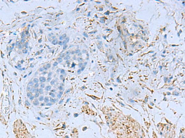
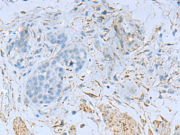
IHC positive control: |
Human breast cancer and Human esophagus cancer |
|
IHC Recommend dilution: |
50-100 |


購物車
幫助
021-54845833/15800441009
