|
Background: |
This gene encodes the adenovirus E1A-associated cellular p300 transcriptional co-activator protein. It functions as histone acetyltransferase that regulates transcription via chromatin remodeling and is important in the processes of cell proliferation and differentiation. It mediates cAMP-gene regulation by binding specifically to phosphorylated CREB protein. This gene has also been identified as a co-activator of HIF1A (hypoxia-inducible factor 1 alpha), and thus plays a role in the stimulation of hypoxia-induced genes such as VEGF. Defects in this gene are a cause of Rubinstein-Taybi syndrome and may also play a role in epithelial cancer. |
|
Applications: |
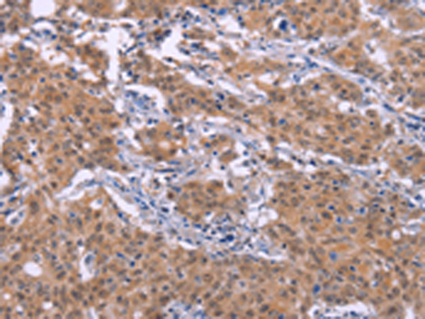
ELISA, IHC |
|
Name of antibody: |
EP300 |
|
Immunogen: |
Synthetic peptide of human EP300 |
|
Full name: |
E1A binding protein p300 |
|
Synonyms: |
p300; KAT3B; RSTS2 |
|
SwissProt: |
Q09472 |
|
IHC positive control: |
Human gastric cancer and human thyroid cancer |
|
IHC Recommend dilution: |
25-100 |
購物車
幫助
021-54845833/15800441009
