|
Background: |
This gene encodes a member of the F-box protein family which is characterized by an approximately 40 amino acid motif, the F-box. The F-box proteins constitute one of the four subunits of ubiquitin protein ligase complex called SCFs (SKP1-cullin-F-box), which function in phosphorylation-dependent ubiquitination. The F-box proteins are divided into 3 classes: Fbws containing WD-40 domains, Fbls containing leucine-rich repeats, and Fbxs containing either different protein-protein interaction modules or no recognizable motifs. The protein encoded by this gene belongs to the Fbxs class. It can function as an arginine methyltransferase that symmetrically dimethylates arginine residues, and it acts as an adaptor protein to mediate the neddylation of p53, which leads to the suppression of p53 function. This gene is known to be down-regulated in melanocytes from patients with vitiligo, a skin disorder that results in depigmentation. Polymorphisms in this gene are associated with chronic otitis media with effusion and recurrent otitis media (COME/ROM), a hearing loss disorder, and the knockout of the homologous mouse gene results in the deaf mouse mutant Jeff (Jf), a single gene model of otitis media. Alternatively spliced transcript variants encoding distinct isoforms have been identified for this gene. [provided by RefSeq, Jun 2010] |
|
Applications: |
ELISA, IHC |
|
Name of antibody: |
FBXO11 |
|
Immunogen: |
Fusion protein of human FBXO11 |
|
Full name: |
F-box protein 11 |
|
Synonyms: |
UBR6; VIT1; FBX11; PRMT9; IDDFBA; UG063H01 |
|
SwissProt: |
Q86XK2 |
|
ELISA Recommended dilution: |
5000-10000 |
|
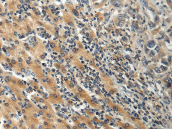
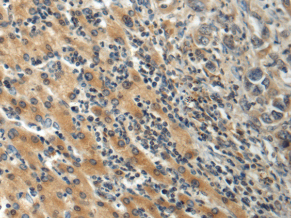
IHC positive control: |
Human liver cancer |
|
IHC Recommend dilution: |
100-300 |

購物車
幫助
021-54845833/15800441009
