中文名稱:兔抗FSD1L多克隆抗體
|
Background: |
FSD1L (fibronectin type III and SPRY domain containing 1-like), also known as CCDC10 (coiled-coil domain-containing protein 10), CSDUFD1, MIR1 or FSD1CL, is a 530 amino acid protein containing one B30.2/SPRY domain, one COS domain, and a fibronectin type-III domain. Existing as three alternatively spliced isoforms, FSD1L is expressed primarily in brain, with lower levels of expression found in thymus, pituitary and testis. FSD1L may function in microtubule binding during interphase and is encoded by a gene that maps to human chromosome 9q31.2. Chromosome 9 consists of about 145 million bases andd comprises approximately 4% of the human genome and encodes nearly 900 genes. Considered to play a role in gender determination, deletion of the distal portion of 9p can lead to development of male to female sex reversal, the phenotype of a female with a male X,Y genotype. |
|
Applications: |
ELISA, IHC |
|
Name of antibody: |
FSD1L |
|
Immunogen: |
Fusion protein of human FSD1L |
|
Full name: |
fibronectin type III and SPRY domain containing 1-like |
|
Synonyms: |
MIR1; CCDC10; FSD1CL; FSD1NL; CSDUFD1 |
|
SwissProt: |
Q9BXM9 |
|
ELISA Recommended dilution: |
5000-10000 |
|
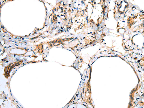
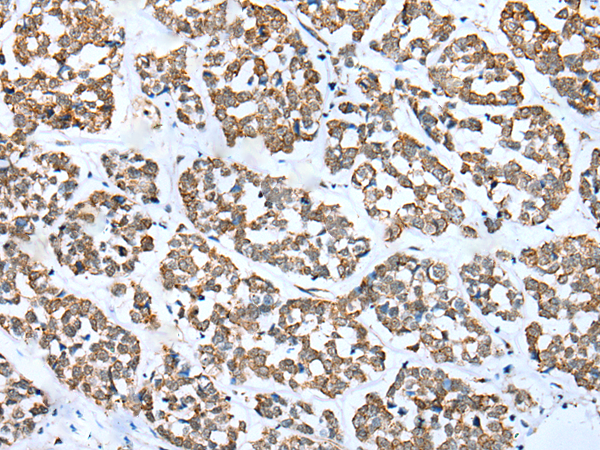
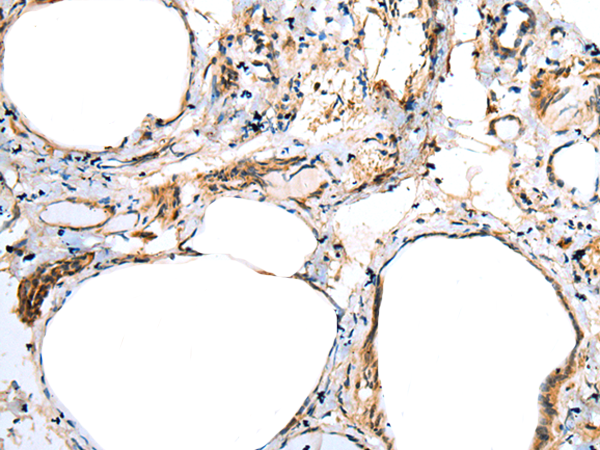
IHC positive control: |
Human esophagus cancer and human thyroid cancer |
|
IHC Recommend dilution: |
25-100 |
購(gòu)物車
幫助
021-54845833/15800441009
