|
Background: |
The protein encoded by this gene is a member of the glutaredoxin family of proteins, which maintain cellular thiol homeostasis. These proteins are thiol-disulfide oxidoreductases that use a glutathione-binding site and one or two active cysteines in their active site. This gene undergoes alternative splicing to produce multiple isoforms, one of which is ubiquitously expressed and localizes to mitochondria, where it functions in mitochondrial redox homeostasis and is important for the protection against and recovery from oxidative stress. Other isoforms, which have more restrictive expression patterns, show cytosolic and nuclear localization, and are thought to function in cellular differentiation and transformation, possibly with a role in tumor progression. |
|
Applications: |
ELISA, IHC |
|
Name of antibody: |
GLRX2 |
|
Immunogen: |
Fusion protein of human GLRX2 |
|
Full name: |
glutaredoxin 2 |
|
Synonyms: |
GRX2; CGI-133 |
|
SwissProt: |
Q9NS18 |
|
ELISA Recommended dilution: |
5000-10000 |
|
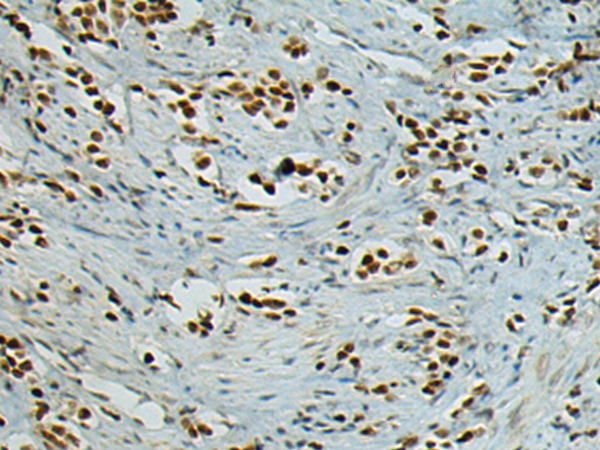
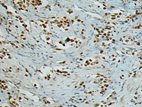
IHC positive control: |
Human prostate cancer |
|
IHC Recommend dilution: |
150-300 |

購物車
幫助
021-54845833/15800441009
