中文名稱: 兔抗URI1多克隆抗體
|
Background: |
This gene encodes member of the prefoldin family of molecular chaperones. The encoded protein functions as a scaffolding protein and plays roles in ubiquitination and transcription, in part though interactions with the RNA polymerase II subunit RPB5. This gene may play a role in multiple malignancies including ovarian cancer and hepatocellular carcinoma. Alternatively spliced transcript variants encoding multiple isoforms have been observed for this gene, and a pseudogene of this gene is located on the long arm of chromosome 22. |
|
Applications: |
ELISA, WB, IHC |
|
Name of antibody: |
URI1 |
|
Immunogen: |
Synthetic peptide of human URI1 |
|
Full name: |
URI1 prefoldin-like chaperone |
|
Synonyms: |
RMP; URI; NNX3; C19orf2; PPP1R19 |
|
SwissProt: |
O94763 |
|
ELISA Recommended dilution: |
5000-10000 |
|
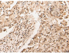
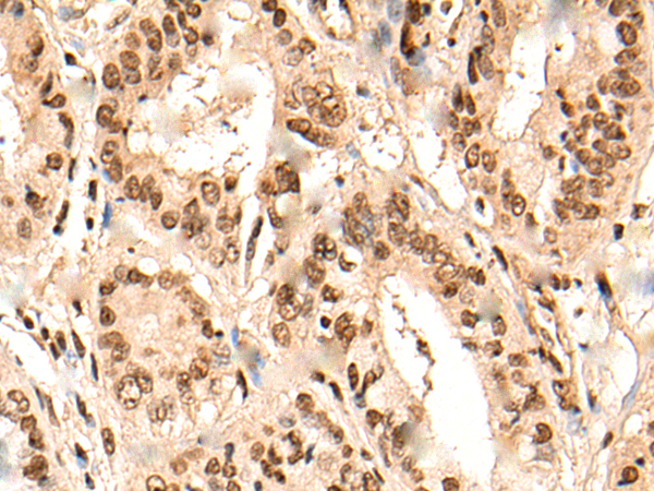
IHC positive control: |
Human lung cancer and human liver cancer |
|
IHC Recommend dilution: |
30-150 |
|
WB Predicted band size: |
60 kDa |
|
WB Positive control: |
K562 and 293T cell lysates |
|
WB Recommended dilution: |
500-2000 |


購物車
幫助
021-54845833/15800441009
