中文名稱: 兔抗MAFB多克隆抗體
|
Background: |
The protein encoded by this gene is a basic leucine zipper (bZIP) transcription factor that plays an important role in the regulation of lineage-specific hematopoiesis. The encoded nuclear protein represses ETS1-mediated transcription of erythroid-specific genes in myeloid cells. This gene contains no introns. |
|
Applications: |
ELISA, WB, IHC |
|
Name of antibody: |
MAFB |
|
Immunogen: |
Synthetic peptide of human MAFB |
|
Full name: |
v-maf avian musculoaponeurotic fibrosarcoma oncogene homolog B |
|
Synonyms: |
KRML; MCTO |
|
SwissProt: |
Q9Y5Q3 |
|
ELISA Recommended dilution: |
5000-10000 |
|
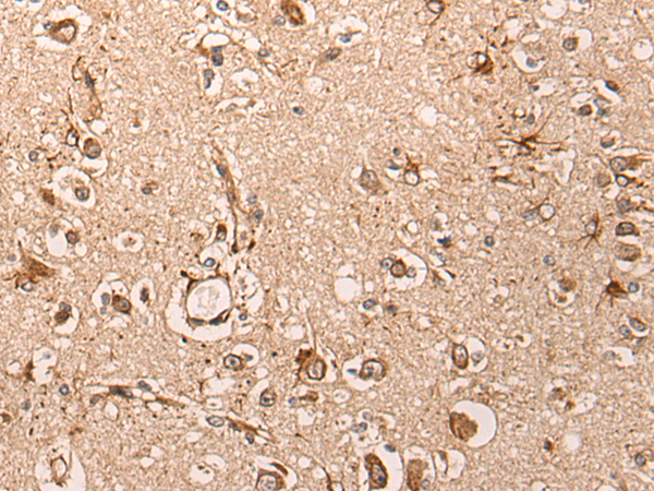
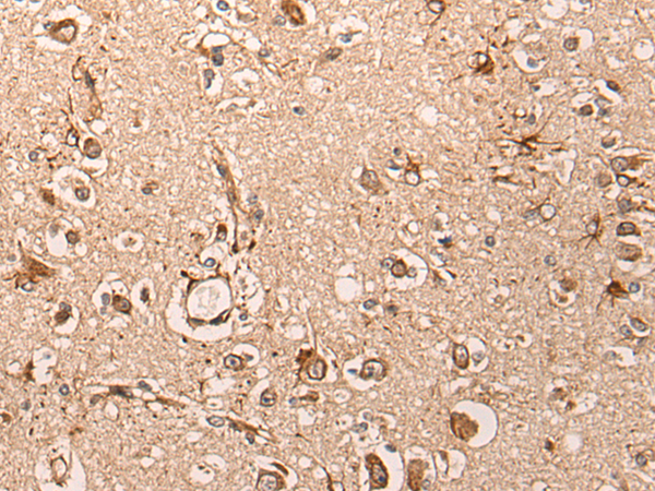
IHC positive control: |
Human lung cancer and human brain |
|
IHC Recommend dilution: |
25-100 |
|
WB Predicted band size: |
36 kDa |
|
WB Positive control: |
HEPG2,Hela,SKOV3 and Jurkat cell lysates |
|
WB Recommended dilution: |
200-1000 |


購物車
幫助
021-54845833/15800441009
