|
IHC Recommend dilution: |
25-100 |
|
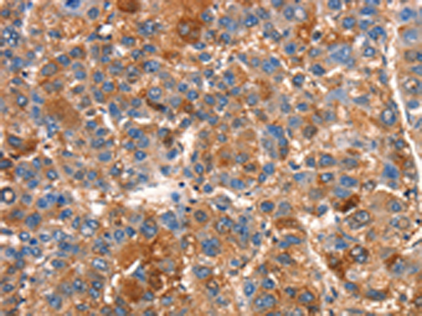
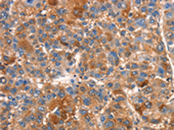
IHC positive control: |
Human liver cancer and Human gastric cancer |
|
ELISA Recommended dilution: |
1000-2000 |
|
SwissProt: |
Q9HCE7 |
|
Full name: |
SMAD specific E3 ubiquitin protein ligase 1 |
|
Immunogen: |
Synthetic peptide of human SMURF1 |
|
Name of antibody: |
SMURF1 |
|
Applications: |
ELISA, IHC |
|
Background: |
This gene encodes a ubiquitin ligase that is specific for receptor-regulated SMAD proteins in the bone morphogenetic protein (BMP) pathway. This protein plays a key roll in the regulation of cell motility, cell signalling, and cell polarity. Alternative splicing results in multiple transcript variants encoding different isoforms. |
購(gòu)物車
幫助
021-54845833/15800441009
