|
Background: |
Involved in calcium binding and microtubule stabilization. |
|
Applications: |
ELISA, WB, IHC |
|
Name of antibody: |
TPT1 |
|
Immunogen: |
Full length fusion protein |
|
Full name: |
tumor protein, translationally-controlled 1 |
|
Synonyms: |
HRF; p02; p23; TCTP |
|
SwissProt: |
P13693 |
|
ELISA Recommended dilution: |
5000-10000 |
|
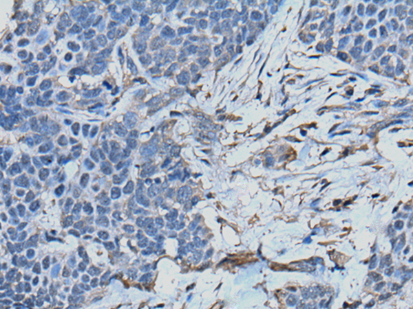
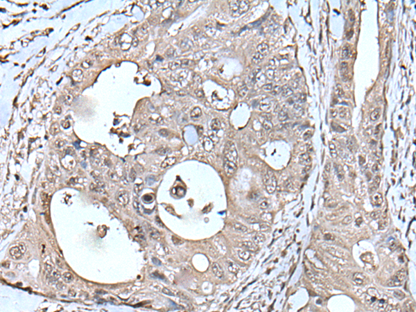
IHC positive control: |
Human thyroid cancer and human colorectal cancer |
|
IHC Recommend dilution: |
30-150 |
|
WB Predicted band size: |
20 kDa |
|
WB Positive control: |
Jurkat,293T and Hela cell lysates |
|
WB Recommended dilution: |
500-2000 |


購物車
幫助
021-54845833/15800441009
