Background:
The protein encoded by this gene contains a paired-like homeodomain and binds to the core of the locus control region of the red/green visual pigment gene cluster. The encoded protein may regulate expression of the cone opsin genes early in development. Mutations in this gene can cause posterior polymorphous corneal dystrophy and keratoconus. Alternatively spliced transcript variants encoding different isoforms have been described.
Applications:
ELISA, IHC
Name of antibody:
VSX1
Immunogen:
Fusion protein of human VSX1
Full name:
visual system homeobox 1
Synonyms:
PPD; KTCN; PPCD; RINX; KTCN1; PPCD1; CAASDS
SwissProt:
Q9NZR4
ELISA Recommended dilution:
5000-10000
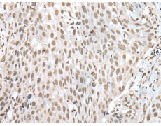
IHC positive control:
Human lung cancer and human gastric cancer
IHC Recommend dilution:
25-100


購物車
幫助
021-54845833/15800441009
