|
Background: |
The glycoprotein encoded by this gene functions as both an antihemophilic factor carrier and a platelet-vessel wall mediator in the blood coagulation system. It is crucial to the hemostasis process. Mutations in this gene or deficiencies in this protein result in von Willebrand's disease. An unprocessed pseudogene has been found on chromosome 22. |
|
Applications: |
ELISA, IHC |
|
Name of antibody: |
VWF |
|
Immunogen: |
Fusion protein of human VWF |
|
Full name: |
von Willebrand factor |
|
Synonyms: |
VWD; F8VWF |
|
SwissProt: |
P04275 |
|
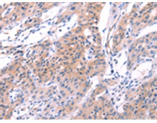
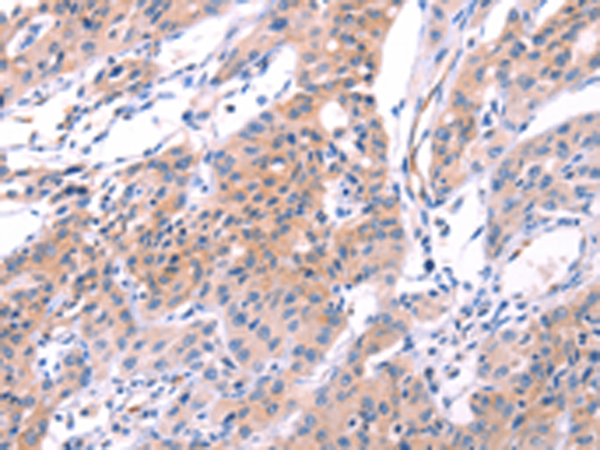
IHC positive control: |
Human lung cancer and human gastric cancer |
|
IHC Recommend dilution: |
25-100 |
購物車
幫助
021-54845833/15800441009
