中文名稱:兔抗BFAR多克隆抗體
|
Background: |
A novel protein, BAR, for bifunctional apoptosis regulator, contains domains that enable it to interact with components of both major apoptosis pathways, where it negatively regulates apoptotic signaling. Like the other anti-apoptosis proteins Bap31 and FLIP, BAR contains a DED-like domain that is capable of suppressing apoptosis mediated at the receptor level. In addition, BAR contains a domain that also enables it to interact with the mitochondrial Bcl-2 family of proteins. The presence of these various RING, SAM, DED and TM domains suggests that BAR may serve as a scaffold protein that integrates signaling components of the cells apoptosis-regulatory machinery. |
|
Applications: |
ELISA, IHC |
|
Name of antibody: |
BFAR |
|
Immunogen: |
Synthetic peptide of human BFAR |
|
Full name: |
bifunctional apoptosis regulator |
|
Synonyms: |
BAR; RNF47 |
|
SwissProt: |
Q9NZS9 |
|
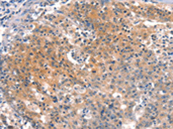
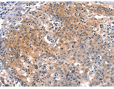
IHC positive control: |
Human gastric cancer |
|
IHC Recommend dilution: |
25-100 |

購物車
幫助
021-54845833/15800441009
