中文名稱: 兔抗BTF3L4多克隆抗體
|
Background: |
The function of this protein remains unknown. |
|
Applications: |
ELISA, WB, IHC |
|
Name of antibody: |
BTF3L4 |
|
Immunogen: |
Full length fusion protein |
|
Full name: |
basic transcription factor 3-like 4 |
|
SwissProt: |
Q96K17 |
|
ELISA Recommended dilution: |
5000-10000 |
|
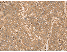
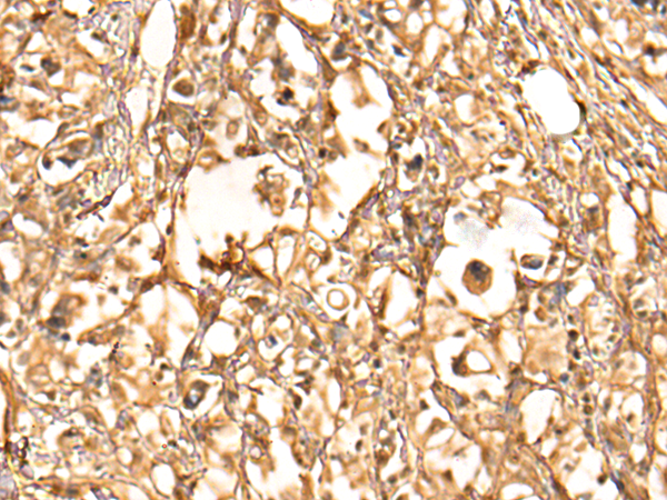
IHC positive control: |
Human liver cancer and human gastric cancer |
|
IHC Recommend dilution: |
25-100 |
|
WB Predicted band size: |
17 kDa |
|
WB Positive control: |
Hela cell lysate |
|
WB Recommended dilution: |
200-1000 |
購物車
幫助
021-54845833/15800441009
