中文名稱:兔抗BTG4多克隆抗體
|
Background: |
The protein encoded by this gene is a member of the BTG/Tob family. This family has structurally related proteins that appear to have antiproliferative properties. This encoded protein can induce G1 arrest in the cell cycle. |
|
Applications: |
ELISA, IHC |
|
Name of antibody: |
BTG4 |
|
Immunogen: |
Fusion protein of human BTG4 |
|
Full name: |
BTG family member 4 |
|
Synonyms: |
PC3B |
|
SwissProt: |
Q9NY30 |
|
ELISA Recommended dilution: |
5000-10000 |
|
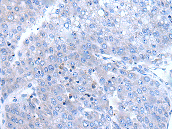
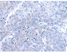
IHC positive control: |
Human esophagus cancer |
|
IHC Recommend dilution: |
30-150 |

購物車
幫助
021-54845833/15800441009
