中文名稱:兔抗ZZZ3多克隆抗體
|
Background: |
ZZZ3 (ZZ-type zinc finger-containing protein 3) is a 903 amino acid protein that contains one HTH myb-type DNA-binding domain and one ZZ-type zinc finger. Phosphorylated upon DNA damage by ATM or ATR, ZZZ3 is a subunit of the ATAC complex, which is composed of GCN5, CRP2BP, ADA3, TADA2L, DR1, CCDC101, YEATS2, WDR5 and MBIP. The ATAC complex has histone acetyltransferase activity on histones H3 and H4. ZZZ3 is expressed as four isoforms produced by alternative splicing and is encoded by a gene mapping to human chromosome 1. Chromosome 1 is the largest human chromosome spanning about 260 million base pairs and making up 8% of the human genome. There are about 3,000 genes on chromosome 1, and considering the great number of genes there are also a large number of diseases associated with chromosome 1. Notably, the rare aging disease Hutchinson-Gilford progeria is associated with the LMNA gene which encodes lamin A. When defective, the LMNA gene product can build up in the nucleus and cause characteristic nuclear blebs. The mechanism of rapidly enhanced aging is unclear and is a topic of continuing exploration. Stickler syndrome, Parkinsons, Gaucher disease and Usher syndrome are also associated with chromosome 1. |
|
Applications: |
ELISA, IHC |
|
Name of antibody: |
ZZZ3 |
|
Immunogen: |
Fusion protein of human ZZZ3 |
|
Full name: |
zinc finger, ZZ-type containing 3 |
|
Synonyms: |
ATAC1 |
|
SwissProt: |
Q8IYH5 |
|
ELISA Recommended dilution: |
5000-10000 |
|
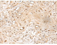
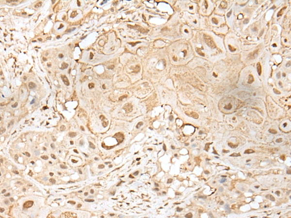
IHC positive control: |
Human esophagus cancer |
|
IHC Recommend dilution: |
25-100 |
購物車
幫助
021-54845833/15800441009
