|
Background: |
This gene encodes a component of the COP9 signalosome, an evolutionarily conserved multi-subunit protease that regulates the activity of the ubiquitin conjugation pathway. Alternatively spliced transcript variants that encode the same protein have been described. |
|
Applications: |
ELISA, IHC |
|
Name of antibody: |
COPS7A |
|
Immunogen: |
Fusion protein of human COPS7A |
|
Full name: |
COP9 signalosome subunit 7A |
|
Synonyms: |
CSN7; CSN7A; SGN7a |
|
SwissProt: |
Q9UBW8 |
|
ELISA Recommended dilution: |
5000-10000 |
|
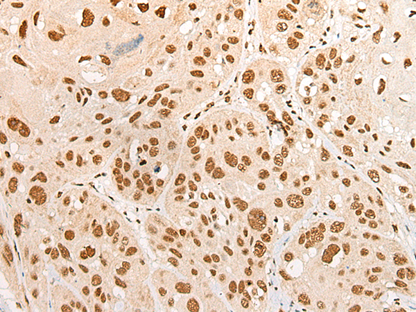
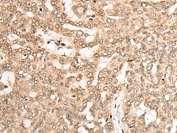
IHC positive control: |
Human liver cancer and Human esophagus cancer |
|
IHC Recommend dilution: |
25-100 |

購物車
幫助
021-54845833/15800441009
