|
Background: |
Acts as a regulator of DDX58/RIG-I and IFIH1/MDA5 mediated antiviral signaling. Cannot initiate antiviral signaling as it lacks the CARD domain required for activating MAVS/IPS1-dependent signaling events. Can have both negative and positive regulatory functions related to DDX58/RIG-I and IFIH1/MDA5 signaling and this role in regulating signaling may be complex and could probably depend on characteristics of the infecting virus or target cells, or both. Its inhibitory action on DDX58/RIG-I signaling may involve the following mechanisms: competition with DDX58/RIG-I for binding to the viral RNA, binding to DDX58/RIG-I and inhibiting its dimerization and interaction with MAVS/IPS1, competing with IKBKE in its binding to MAVS/IPS1 thereby inhibiting activation of interferon regulatory factor 3 (IRF3). Its positive regulatory role may involve unwinding or stripping nucleoproteins of viral RNA thereby facilitating their recognition by DDX58/RIG-I and IFIH1/MDA5. Involved in the innate immune response to various RNA viruses and some DNA viruses such as poxviruses, and also to the bacterial pathogen Listeria monocytogenes. Can bind both ssRNA and dsRNA, with a higher affinity for dsRNA. Shows a preference to 5'-triphosphorylated RNA, although it can recognize RNA lacking a 5'-triphosphate. |
|
Applications: |
ELISA, WB, IHC |
|
Name of antibody: |
DHX58 |
|
Immunogen: |
Fusion protein of human DHX58 |
|
Full name: |
DExH-box helicase 58 |
|
Synonyms: |
LGP2; RLR-3; D11LGP2; D11lgp2e |
|
SwissProt: |
Q96C10 |
|
ELISA Recommended dilution: |
5000-10000 |
|
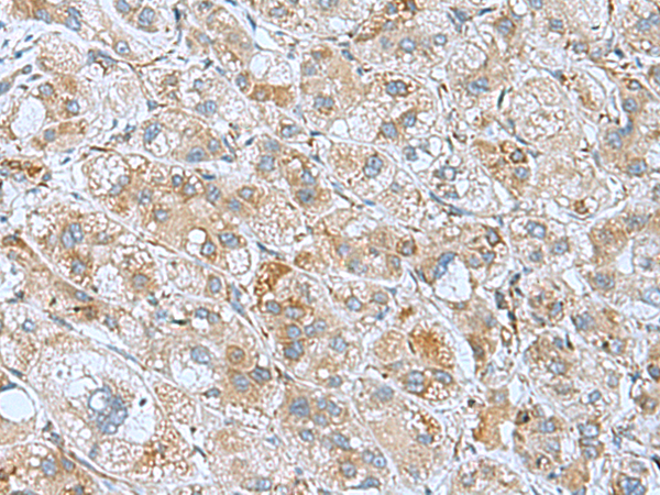
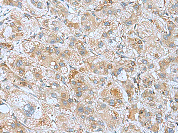
IHC positive control: |
Human liver cancer |
|
IHC Recommend dilution: |
50-100 |
|
WB Predicted band size: |
77 kDa |
|
WB Positive control: |
Rat liver tissue lysate |
|
WB Recommended dilution: |
500-2000 |

購物車
幫助
021-54845833/15800441009
