|
Background: |
This gene encodes a member of the DEAD box protein family. DEAD box proteins, characterized by the conserved motif Asp-Glu-Ala-Asp (DEAD), are putative RNA helicases. They are implicated in a number of cellular processes involving alteration of RNA secondary structure, such as translation initiation, nuclear and mitochondrial splicing, and ribosome and spliceosome assembly. Based on their distribution patterns, some members of this family are believed to be involved in embryogenesis, spermatogenesis, and cellular growth and division. The protein encoded by this gene is a nuclear matrix protein. Its amino acid sequence is highly similar to the amino acid sequences of the translation initiation factors eIF4AI and eIF4AII, two other members of the DEAD box protein family. |
|
Applications: |
ELISA, WB, IHC |
|
Name of antibody: |
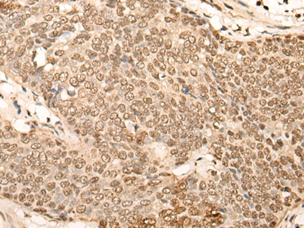
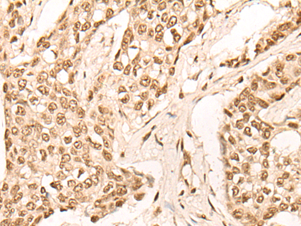
EIF4A3 |
|
Immunogen: |
Fusion protein of human EIF4A3 |
|
Full name: |
eukaryotic translation initiation factor 4A3 |
|
Synonyms: |
RCPS; DDX48; MUK34; NUK34; NMP265; eIF4AIII |
|
SwissProt: |
P38919 |
|
ELISA Recommended dilution: |
5000-10000 |
|
IHC positive control: |
Human esophagus cancer and Human breast cancer |
|
IHC Recommend dilution: |
50-300 |
|
WB Predicted band size: |
47 kDa |
|
WB Positive control: |
Raji, Hela, A549, HEPG2 and 231 cell lysates |
|
WB Recommended dilution: |
500-2000 |


購物車
幫助
021-54845833/15800441009
