中文名稱:兔抗EPS8L3多克隆抗體
Background:
This gene encodes a protein that is related to epidermal growth factor receptor pathway substrate 8 (EPS8), a substrate for the epidermal growth factor receptor. The function of this protein is unknown. Alternatively spliced transcript variants encoding different isoforms exist.
Applications:
WB, IHC, IF
Name of antibody:
EPS8L3
Immunogen:
Synthesized peptide derived from internal of human ES8L3.
Full name:
EPS8-like 3
Synonyms:
EPS8R3
SwissProt:
Q8TE67
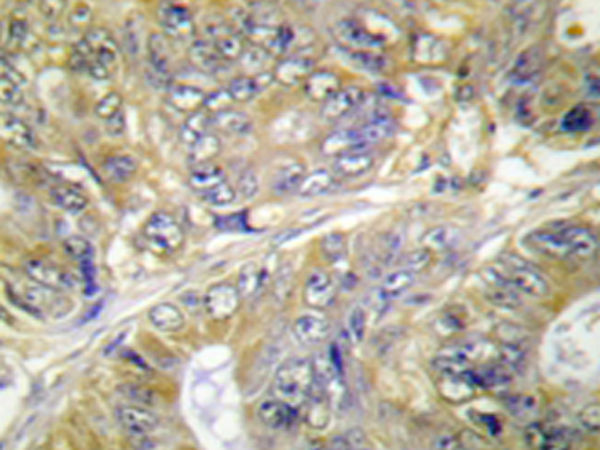
IHC positive control:
Human colon carcinoma tissue
IHC Recommend dilution:
50-100
WB Predicted band size:
67 kDa
WB Positive control:
COS7 cells and K562 cells lysates
WB Recommended dilution:
500-3000
IF positive control:
Hela cells
IF Recommend dilution:
100-500



購物車
幫助
021-54845833/15800441009
