|
Background: |
This gene encodes a member of the fibroblast growth factor receptor (FGFR) family, with its amino acid sequence being highly conserved between members and among divergent species. FGFR family members differ from one another in their ligand affinities and tissue distribution. A full-length representative protein would consist of an extracellular region, composed of three immunoglobulin-like domains, a single hydrophobic membrane-spanning segment and a cytoplasmic tyrosine kinase domain. The extracellular portion of the protein interacts with fibroblast growth factors, setting in motion a cascade of downstream signals, ultimately influencing mitogenesis and differentiation. This particular family member binds acidic and basic fibroblast growth hormone and plays a role in bone development and maintenance. Mutations in this gene lead to craniosynostosis and multiple types of skeletal dysplasia. Three alternatively spliced transcript variants that encode different protein isoforms have been described. |
|
Applications: |
ELISA, IHC |
|
Name of antibody: |
FGFR3 |
|
Immunogen: |
Synthetic peptide of human FGFR3 |
|
Full name: |
Fibroblast growth factor receptor 3 |
|
Synonyms: |
ACH, CEK2, JTK4, CD333, HSFGFR3EX |
|
SwissProt: |
P22607 |
|
ELISA Recommended dilution: |
500-5000 |
|
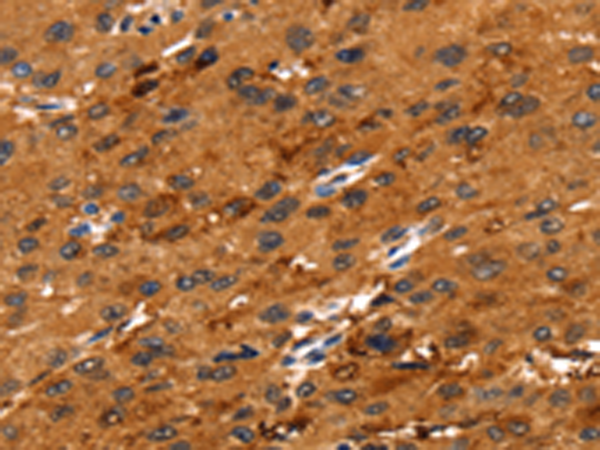
IHC positive control: |
Human liver cancer |
|
IHC Recommend dilution: |
25-100 |

購(gòu)物車
幫助
021-54845833/15800441009
