|
Background: |
This gene encodes a member of a small family of proteins that inhibit phospholipase D2 and may function in neuronal plasticity. The encoded protein is abundant in lesions of patients with Alzheimer disease. A mutation in this gene was found in individuals with dementia with Lewy bodies. Alternative splicing results in multiple transcript variants. |
|
Applications: |
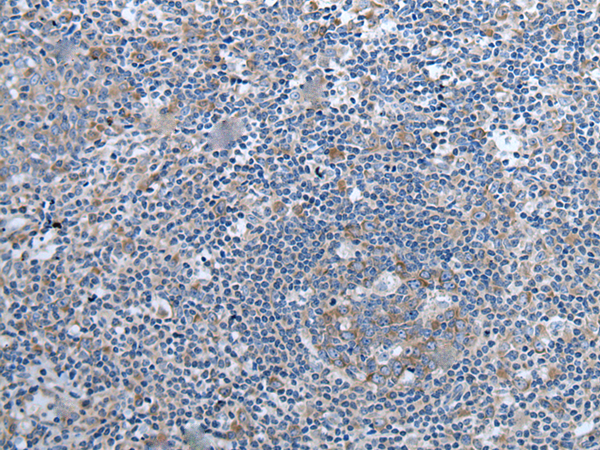
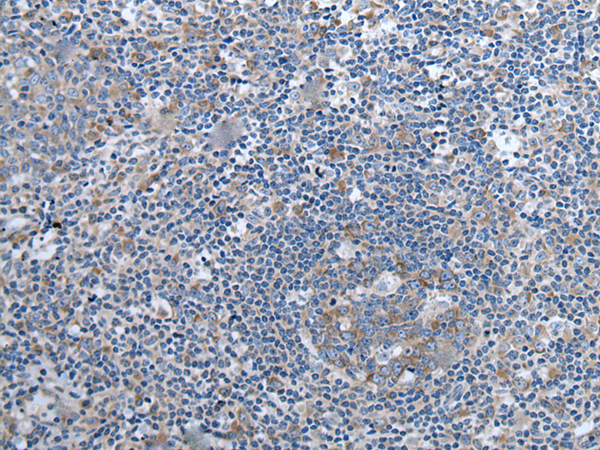
ELISA, IHC |
|
Name of antibody: |
SNCB |
|
Immunogen: |
Synthetic peptide of human SNCB |
|
Full name: |
synuclein beta |
|
SwissProt: |
Q16143 |
|
ELISA Recommended dilution: |
5000-10000 |
|
IHC positive control: |
Human colorectal cancer and human tonsil |
|
IHC Recommend dilution: |
20-100 |

購物車
幫助
021-54845833/15800441009
