|
Background: |
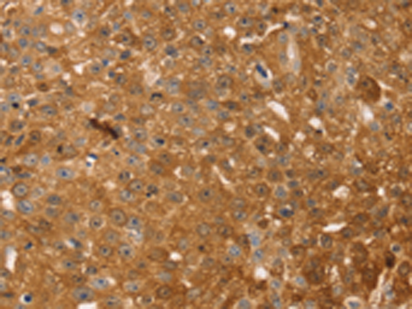
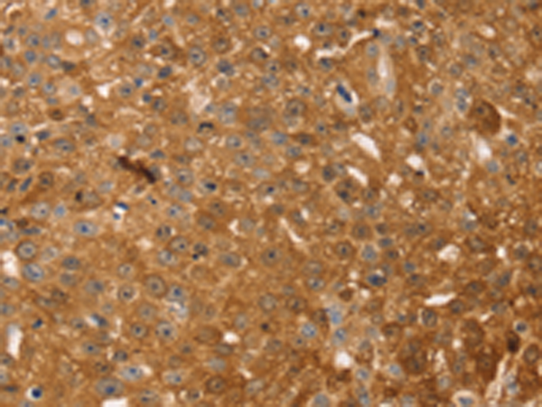
Thymosin beta-10 plays an important role in the organization of the cytoskeleton. Thymosin beta-10 binds to and sequesters actin monomers (G actin) and therefore inhibits actin polymerization. The expression of thymosin beta-10 dramatically decreases after birth. |
|
Applications: |
ELISA, IHC |
|
Name of antibody: |
TMSB10 |
|
Immunogen: |
Synthetic peptide of human TMSB10 |
|
Full name: |
thymosin beta 10 |
|
Synonyms: |
TB10; MIG12 |
|
SwissProt: |
P63313 |
|
ELISA Recommended dilution: |
2000-10000 |
|
IHC positive control: |
Human breast cancer and Human brain |
|
IHC Recommend dilution: |
30-150 |
購(gòu)物車(chē)
幫助
021-54845833/15800441009
