中文名稱: 兔抗ADAMTSL1多克隆抗體
|
Background: |
This gene encodes a secreted protein and member of the ADAMTS (a disintegrin and metalloproteinase with thrombospondin motif) family. This protein lacks the metalloproteinase and disintegrin-like domains, which are typical of the ADAMTS family, but contains other ADAMTS domains, including the thrombospondin type 1 motif. This protein may have important functions in the extracellular matrix. Alternative splicing results in multiple transcript variants encoding distinct proteins. |
|
Applications: |
ELISA, IHC |
|
Name of antibody: |
ADAMTSL1 |
|
Immunogen: |
Fusion protein of human ADAMTSL1 |
|
Full name: |
ADAMTS-like 1 |
|
Synonyms: |
C9orf94; PUNCTIN; ADAMTSR1; ADAMTSL-1 |
|
SwissProt: |
Q8N6G6 |
|
ELISA Recommended dilution: |
1000-2000 |
|
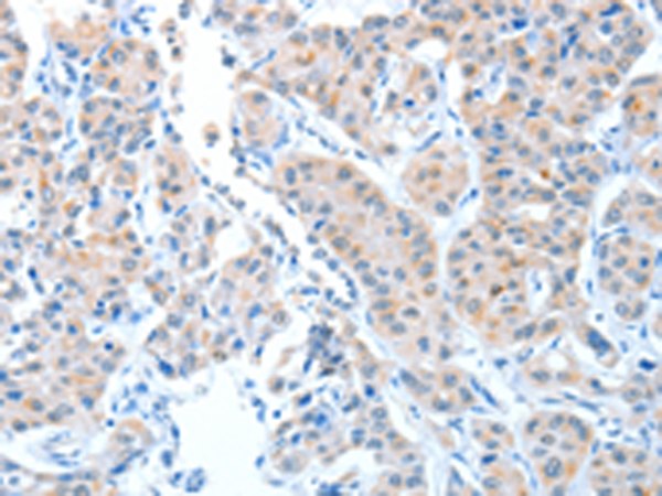
IHC positive control: |
Human lung cancer |
|
IHC Recommend dilution: |
15-50 |

購物車
幫助
021-54845833/15800441009
