中文名稱:兔抗XRCC2多克隆抗體
|
Background: |
This gene encodes a member of the RecA/Rad51-related protein family that participates in homologous recombination to maintain chromosome stability and repair DNA damage. This gene is involved in the repair of DNA double-strand breaks by homologous recombination and it functionally complements Chinese hamster irs1, a repair-deficient mutant that exhibits hypersensitivity to a number of different DNA-damaging agents. |
|
Applications: |
WB |
|
Name of antibody: |
XRCC2 |
|
Immunogen: |
Fusion protein of human XRCC2 |
|
Full name: |
X-ray repair complementing defective repair in Chinese hamster cells 2 |
|
Synonyms: |
DKFZp781P091 |
|
SwissProt: |
O43543 |
|
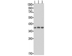
WB Predicted band size: |
32 kDa |
|
WB Positive control: |
HeLa, SH-SY5Y and SW480 cells |
|
WB Recommended dilution: |
500-2000 |
購物車
幫助
021-54845833/15800441009
